Easing age-related bowel inflammation by lowering fat-based hormones and boosting beneficial gut bacteria

Researchers have found that ageing can make gut problems such as inflammatory bowel disease (IBD) worse by increasing inflammation and slowing down the recovery process. Reducing the production or effect of fat-based hormones called prostaglandins, or boosting helpful gut bacteria, could help reduce bowel inflammation, especially in older adults.

As we get older, our risk of chronic diseases, problems with our organs, weaker immune systems, and a reduced ability to heal, increases. Older individuals are also prone to experiencing significant bowel side effects during immunotherapy treatments (e.g., for cancer treatments or autoimmune disease regulation). However, the mechanisms underlying age-related bowel inflammation are unclear. 

IRR Group Leader Dr Chengcan Yao and colleagues studied the impact of ageing on bowel inflammation in mice, looked at how immune cells behave in the gut lining, and examined the bacteria found in the gut.

Their study found that even in middle-aged animals (human equivalent to 40-45 years old), ageing can already be seen to slow down the recovery of bowel inflammation. This problem is linked to more aggressive behaviour in certain immune cells and changes in the gut’s bacterial community (or 'microbiome').

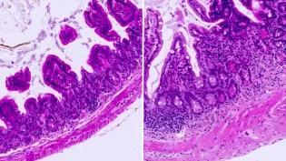
Microscope images from the bowel. Left image shows less inflamed tissue in young bowel; Right image shows ongoing inflamed tissue in older bowel
Microscope images from young, less inflamed bowel tissue (left) and older bowel tissue with ongoing inflammation (right).

Increase in prostaglandins with age promotes inflammation

They found that ageing increases the action of ‘cell signalling’ prostaglandins, which are well-known for promoting inflammation. 

The team investigated the effect of these molecules by preventing their production (such as using common pain relievers) and blocking their engagement with a specific target on immune cells, called a ‘receptor’, in mice. 

The reduction of prostaglandins stopped the harmful actions of the immune cells, reduced damage to the gut wall, and helped the recovery of the affected gut.

Decrease in beneficial bacteria with age impairs recovery of inflammation

They also observed important changes in the gut bacteria of old mice, particularly a decrease in a group of beneficial bacteria called Segmented Filamentous Bacteria (SFB). 

These long, thread-like, and segmented bacteria closely attach to the inside lining of the small bowel, helping build a strong and effective immune system. 

As well as a decrease in these bacteria, their ability to stick to the intestinal lining was also affected by prostaglandins, impairing the recovery of inflammation.   

Microscope images of bacteria and bowel interactions. Left: Segmented Filamentous Bacteria (SFB) (long, stringy structures) are not seen in the irritated bowel; Right: SFB stick to the irritated bowel wall
Microscope images show that helpful 'Segmented Filamentous Bacteria' don’t attach to the inside lining of the inflamed bowel when prostaglandin signals are present (left), but do stick and aid healing when these signals are blocked (right).

Looking to the future, treatments that either block a specific process involved in making prostaglandins and their receptor or boost the interaction between helpful bacteria and the cells lining the gut, could help reduce inflammation in the bowels of patients, especially in elderly individuals.

The Yao research group has been supported by the UKRI Medical Research Council (MRC) and Cancer Research UK (CRUK).

Read the full paper in Cell Host and Microbe

Yao research group

Tags

CIR